Статьи
Все статьи
Боюсь идти к стоматологу
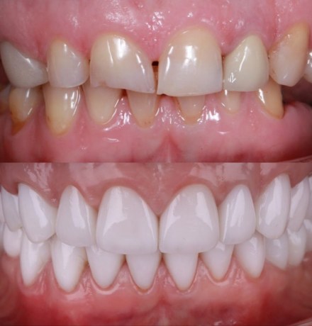
Виниры для зубов: что это такое, плюсы и минусы
Каппы для выравнивания зубов: взрослым и детям
Осложнения после синус-лифтинга: симптомы и причины
Имплантация зубов без костной пластики: показания и противопоказания
Брекеты для взрослых: когда стоит ставить и сколько носить
Пластика уздечки языка: зачем и как подрезают уздечку?
Ортодонтические капы для лечения ВНЧС и расслабления челюсти
Показано 8 из 292
Узнавайте о спецпредложениях первыми
Никакого беспокойства: на почту будут приходить только
самые важные новости стоматологий ПрезиДЕНТ

Стоматологические клиники в Москве
27 клиник в каждом районе Москвы
Выбрать ближайшую
Служба заботы о пациентах
Ответим на вопросы, а еще поможем выбрать клинику или врача









