Дорогие пациенты!
Наши филиалы возле метро Отрадное, Владыкино, Новогиреево, Пролетарская, Печатники прекратили свою работу в рамках ассоциации клиник ПрезиДЕНТ.
Мы будем рады принять Вас в других филиалах сети!
Круглосуточная
онлайн-запись

Примеры работ стоматологов клиники ПрезиДЕНТ на Щелковской

Ацеталовый протез верхняя челюсть
Акриловый протез (Acry-Free) верхняя челюсть
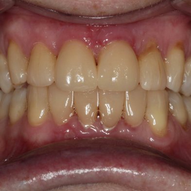
Коронки диоксид циркония
Реставрация Фотополимерная пломба (верх передние зубы)
Реставрация Восстановление режущего края фотополимерной пломбой
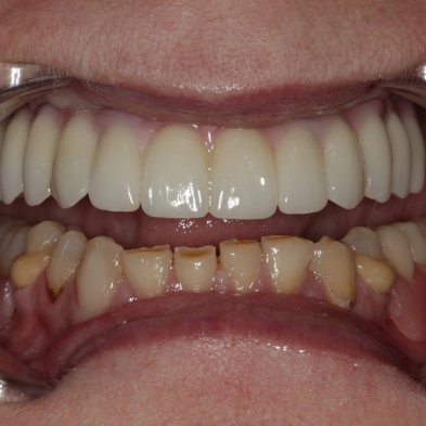
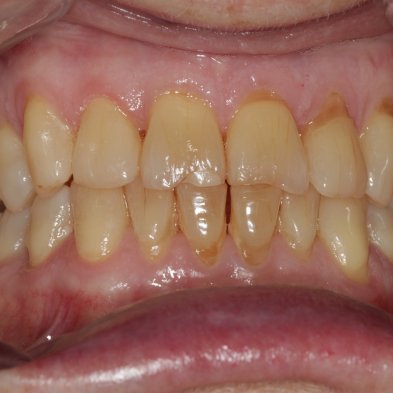
Металлокерамические коронки
Акриловый протез бабочка
Эстетическая реставрация
Ацеталовый бюгельный протез
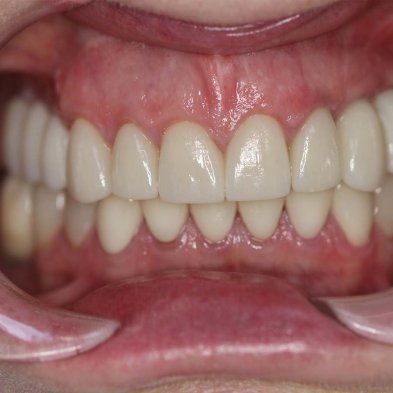
Коронки из диоксид циркония на имплантах
Полные съемные акриловые протезы верхняя и нижняя челюсть
Виниры